
What is Leukoplakia
By Ujala Cygnus
Reviewed by : Jalaz Jain
January 18, 2023
Overview
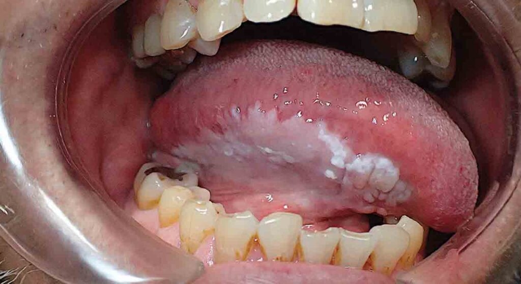
Leukoplakia is a white plaque or patch of questionable risk that may or may not develop into cancer. It is found inside the mouth, commonly affecting the vestibule, palate, lateral surface of the tongue and gums. Tonsils, soft palate, and other parts can also be affected.
Types
Leukoplakia is of two types:
Proliferative verrucous leukoplakia (PVL) is a rare but aggressive form of oral leukoplakia. It is associated with the Epstein-Barr virus, a type of herpes virus.
Yet another condition, termed oral hairy leukoplakia, also occurs due to the Epstein-Barr virus. It has hairy patches that appear like hair emerging out of the folds in the tongue.
Causes
Leukoplakia is caused by or has been associated with the following conditions:
Some cases that have no evident cause are known as idiopathic leukoplakia.
Symptoms
Leukoplakia typically affects the gums, cheeks, vestibule, and floor of the mouth or tongue. Its symptoms are:
Diagnosis
Leukoplakia is a clinical term. Hence, it does not require a diagnosis. Any patch or white, unescapable white mass is termed leukoplakia. On histopathological examination using the biopsy method, the actual disease will be revealed.
Treatment
Leukoplakia needs to be treated to prevent it from turning into cancer. Only after a proper histopathological examination will the actual disease be revealed, and a specific treatment plan can be formulated. Most lesions heal after a surgical or conventional intervention. However, a few may recur depending on the cause and stage. This condition can be managed in two ways:
Surgical treatment
Lesions are often removed using surgical methods or lasers. Other methods are:
Prevention
Some ways to prevent leukoplakia are:
Loading...















